검사 1회 수치 낮아도 반복 촬영에 따른 ‘누적 피폭’ 관리 주의보
불필요한 중복 촬영 줄이고 의료진에 이전 검사 기록 공유 ‘필수’
25일 오전, 서울 강남구의 한 건강검진센터. 차가운 금속판 앞에 서서 숨을 크게 들이마신다. “참으세요”라는 안내 방송과 함께 ‘띠리릭’ 소리가 울리면 상황은 끝난다.
감기 기운에 들른 내과부터 발목을 삐끗해 찾은 정형외과, 매년 돌아오는 직장인 건강검진까지 우리는 1년에도 몇 번씩 이 익숙한 풍경 속으로 들어간다. 너무 흔해서 가끔 잊지만, 이 기계의 정체는 ‘방사선 촬영장치’다.
질병관리청이 발표한 ‘의료방사선 이용 현황 통계(2023년 기준 확정치)’에 따르면, 대한민국 국민의 1인당 연간 의료 방사선 피폭량은 3.13mSv로 집계됐다.
이는 국제방사선방호위원회(ICRP)가 인용하는 세계 평균 자연 방사선 노출량인 연간 2.4mSv와 비교하면 높은 수준이다. 국내 의료 방사선 검사 건수는 연간 3억건을 넘어 지속 증가 추세를 보이고 있다.
왜 한국인은 의료 방사선 이용이 많은 걸까. 높은 의료 접근성과 실손보험 대중화, 병원 간 진료 기록 연계의 한계 등이 복합적으로 작용한 결과라는 분석이 나온다. 병원을 옮길 때 이전 기록이 충분히 공유되지 않아 검사가 반복되는 사례가 피폭량 증가에 영향을 미쳤다는 지적도 있다.
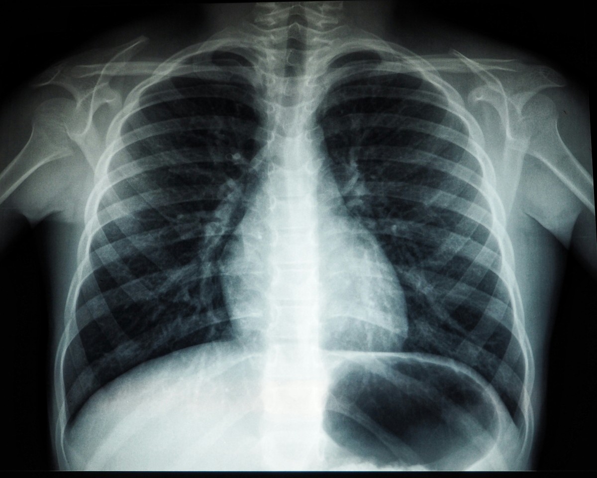
◆한번 찍는 선량, 얼마나 될까?…방사선의 실제 영향
세계보건기구(WHO) 자료에 따르면 흉부 엑스레이 1회 촬영 시 노출되는 방사선량은 약 0.02~0.1mSv다. 치과 엑스레이는 0.005~0.01mSv, 복부 CT는 5~10mSv 수준이다.
흉부 엑스레이 한 번은 일상에서 며칠간 자연 상태로 노출되는 방사선량과 비슷한 범위로 알려져 있다. 단일 촬영의 위험 자체는 매우 낮은 편이다.
전리 방사선은 체내 물 분자를 분해해 활성산소를 만들고, 이 과정에서 DNA 손상을 유발할 가능성이 제기된다. 다만 인체는 상당 부분을 스스로 복구하는 기전을 갖고 있다.
저선량 노출의 영향은 피폭량이 누적될수록 암 발생 위험이 통계적으로 소폭 증가할 가능성이 있다는 ‘확률적 영향’으로 분류된다. 엑스레이 자체가 문제가 되기보다는 통제되지 않은 반복과 누적이 관리의 핵심이다.
◆정당화와 최적화…의료 현장의 원칙
서울의 한 대형병원 영상의학과 교수는 “흉부 엑스레이 1회의 선량은 장거리 항공편에서 받는 우주 방사선량과 비슷하거나 낮은 수준”이라며 “막연한 공포로 꼭 필요한 진단 검사를 피하는 것이 오히려 더 큰 위험이 될 수 있다”고 말했다.
질병관리청 등 보건 당국은 의료 방사선 사용 시 의학적 필요성을 따지는 ‘정당화’, 가능한 한 낮은 선량을 적용하는 ‘최적화(ALARA)’ 원칙을 강조하고 있다.
미국질병통제예방센터(CDC)와 ICRP 지침에 따르면, 태아 기형이나 발달 이상 위험이 유의미하게 증가하는 기준은 약 100mGy 수준의 고선량 노출이다.
이는 진단용 X선의 경우 대략 100mSv에 해당하는 범위로, 일반적인 진단용 엑스레이는 이 기준에 크게 못 미친다. 그럼에도 임신 가능성이 있다면 검사 전 반드시 의료진에게 알리는 것이 원칙이다.
엑스레이는 현대 의학의 중요한 진단 도구다. 한두 번의 촬영으로 당장 건강이 무너지지는 않는다. 하지만 3.13mSv라는 숫자는 “간단하니까 한 번 더 찍자”는 우리의 무의식적 습관을 돌아보게 한다.
불필요한 중복 검사를 줄이는 것, 이전 기록을 적극 활용하는 것이 개인과 의료 시스템 모두에 중요한 과제다.
Copyright ⓒ 세계일보. 무단 전재 및 재배포 금지
![[설왕설래] 촉법소년 연령 하향 딜레마](http://img.segye.com/content/image/2026/02/25/128/20260225519440.jpg
)
![[세계포럼] 동남아 얕봤다간 큰코다친다](http://img.segye.com/content/image/2026/02/25/128/20260225519433.jpg
)
![[세계타워] K방산이 계속 성장하려면](http://img.segye.com/content/image/2026/02/25/128/20260225519281.jpg
)
![[열린마당] 합칠 것인가, 연결할 것인가](http://img.segye.com/content/image/2026/02/25/128/20260225519076.jpg
)








![[포토] 카리나 '눈부신 등장'](http://img.segye.com/content/image/2026/02/19/300/20260219508200.jpg
)